歯を失う主な原因と予防法!歯を守るためにできること
こんにちは。広島県広島市中区胡町、広島電鉄「胡町駅」より徒歩1分にある歯医者「南青山デンタルクリニック広島医院」です。

「虫歯や歯周病が悪化すると、歯を失う可能性がある」と聞いたことがある方もいるのではないでしょうか。歯の喪失には生活習慣や全身の健康状態など、さまざまな要因が関係しています。
この記事では、歯を失う主な原因を詳しく解説します。日常生活の中で歯を守るためにできる具体的な予防法もご紹介していきます。
歯を失う主な原因

ここでは、歯を失う主な原因について解説します。
歯周病
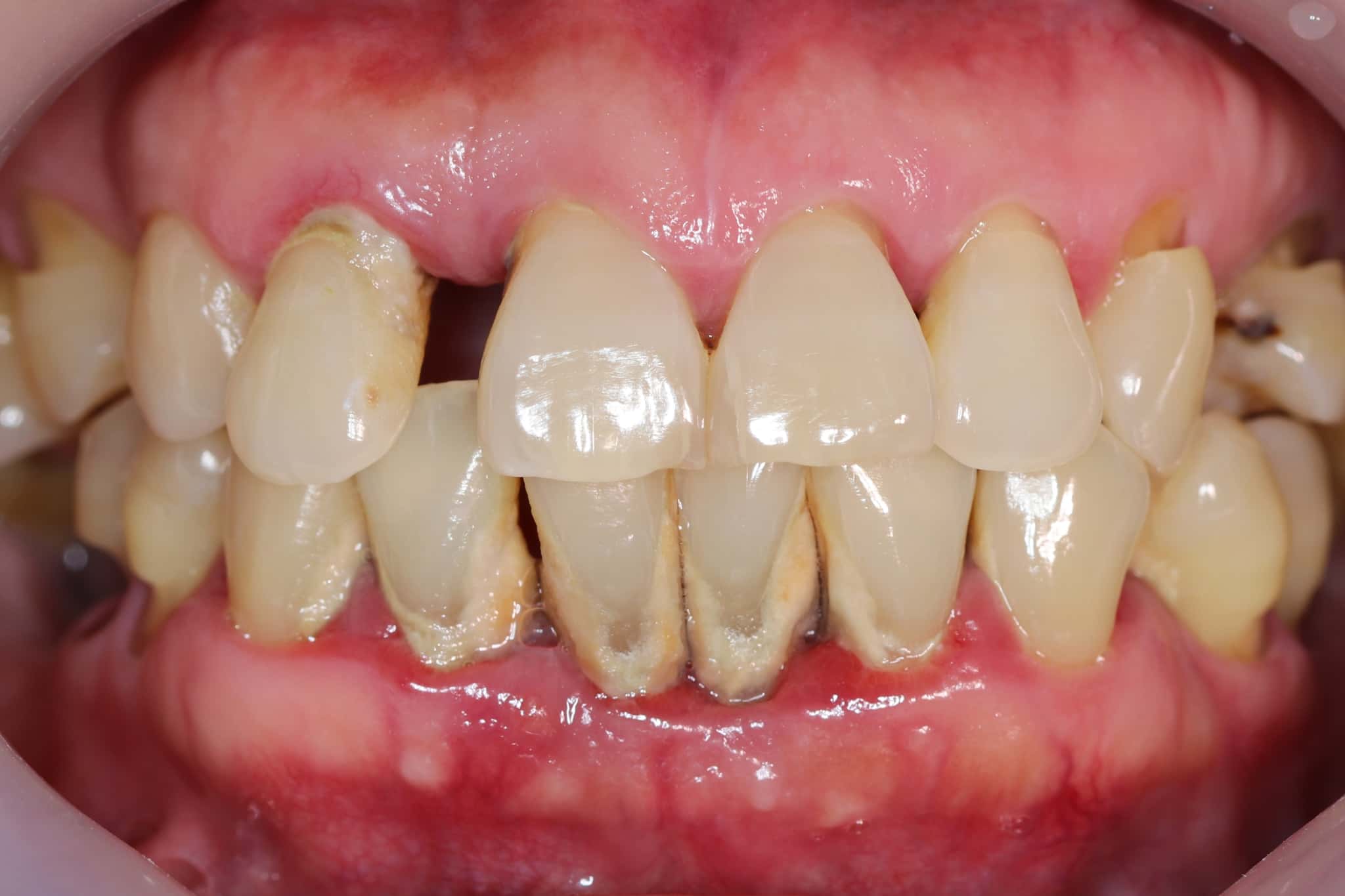
日本人が歯を失う最も多い原因は、歯周病です。歯周病とは、プラークを放置することで、歯茎や歯を支える骨が細菌感染し炎症が起こる病気です。進行すると歯茎の腫れや出血などの症状が現れ、さらに進行すると歯を支える骨が溶け始めます。
しかし、初期段階の歯周病ではほとんど自覚症状が出ないため、放置されることが多いです。歯周病を予防・早期発見するためにも、定期的に歯科医院に通うようにしましょう。
虫歯
虫歯も、歯周病と並ぶ歯を失う原因の1つです。虫歯は、歯が溶けることで知られていますが、進行すると神経にまで達し、歯の保存が難しくなることがあります。根管治療を行っても歯の保存が困難になった場合には、抜歯を検討しなければなりません。
外傷
交通事故や転倒、スポーツでの激しい接触などによる外傷も、歯を失う原因の1つです。特に、前歯はほかの部位と比べてぶつけやすい位置にあるため、注意が必要です。
抜け落ちた場合だけではなく、欠けたり割れたりした場合、ヒビが入った場合なども早急に歯科医師に相談するようにしましょう。
歯を失うと発生するリスクと全身への影響

歯を失うことは、見た目だけの問題にとどまらず、全身の健康や生活の質にも大きな影響を与えます。歯は食事や会話、表情など日常生活のさまざまな場面で重要な役割を果たしているため、歯を欠損した状態で生活することは身体的・精神的な負担を招く可能性があるのです。
ここでは、歯を失うと生じるリスクと、全身への影響について解説します。
咀嚼機能の低下
歯を失うとうまく噛めなくなり、十分に咀嚼できないまま飲み込むことが多くなります。これによって胃腸への負担が増し、消化不良や栄養吸収の低下を招くことがあります。
特に高齢者にとっては、食事は楽しみであるだけでなく、健康維持にも直結する重要な活動です。歯を失うことで食事内容が偏るようになると、さらに歯の健康を損なう悪循環に陥るかもしれません。硬い食材を避けるようになることで栄養バランスが崩れ、全身の体力低下や免疫力の減少につながるおそれもあります。
顎骨の吸収による顔貌の変化
歯を失うことで顎骨に加わる刺激が減ると、骨量が減少する骨吸収が起こります。骨吸収によって顔の輪郭が変化し、頬がこけたり、口元がしぼんだりすると、実年齢よりも老けて見えることがあります。顎の骨の痩せは、インプラント治療の難易度を上げる要因にもなります。
発音への影響
前歯を失うと、サ行やタ行などの発音が不明瞭になることが多いです。舌と歯の接触が不自然になることで、話しづらさ・聞き取りにくさを感じるかもしれません。
人とのコミュニケーションが減ると、心理的ストレスもたまりやすくなるでしょう。
他の歯への負荷の増大
歯が抜けたまま放置していると、周囲の歯が傾いたり隣の歯も抜け落ちたりすることがあります。歯が傾くことで噛み合わせに影響を及ぼし、さらなるトラブルの元になる可能性があるのです。
認知機能への影響
歯を失って食べ物を噛む機会が減ると、脳への刺激が減少するといわれています。これにより、認知症のリスクが高まることが研究からわかってきました。特に、複数の歯を失った高齢者においては、記憶力や判断力の低下が顕著に現れることがあります。
歯を失うのを防ぐために自宅でできるケア

虫歯や歯周病で歯を失うのを防ぐためには、毎日のセルフケアがとても重要です。ここでは、自宅でできるケアをご紹介します。
正しい歯磨きの実践
毎日の歯磨きは、もっとも基本的で効果的な歯を守る方法です。磨き残しを減らすことができれば、虫歯や歯周病のリスクを大幅に減らせます。
特に、歯と歯ぐきの境目や歯の裏側、奥歯などは磨き残しやすい部分です。歯ブラシは毛先が広がっていないものを使えるよう定期的に交換し、力を入れすぎずに小刻みに動かしましょう。
デンタルフロスや歯間ブラシの使用
歯と歯の間や歯ぐきとの境目などは磨きにくく、通常の歯ブラシでは汚れを落としきれません。このような場所をきれいにするために、デンタルフロスや歯間ブラシなどを併用することが推奨されています。プラークを徹底的に除去できるため、虫歯や歯周病の予防に効果的です。
外出先で歯磨きができない場合は、食後に水で口をすすぐだけでも歯に付着した汚れを落とせます。
食生活の見直し
歯を失うのを防ぐためには、食生活を見直すことも大切です。カルシウムやビタミンDは、歯やあごの骨を作るうえで重要な栄養素です。砂糖を多く含むお菓子や炭酸飲料などは、歯の健康に良くないため、控えるようにしましょう。
また、唾液には口内の汚れを洗い流し、清潔に保つはたらきがあります。唾液に分泌を促すためにも、よく噛んで食べることが大切です。
さらに、水分をしっかり取ることも、口内の乾燥を防ぐうえで重要です。
禁煙
歯周病による歯の喪失を防ぐためには、喫煙を避けることが欠かせません。
喫煙は歯周病の最大のリスク要因の一つです。喫煙者と非喫煙者を比較すると、非喫煙者のほうが歯周病になりにくく、進行も穏やかです。喫煙によって歯茎の血流が悪くなると、免疫機能が低下して歯周病菌に対する抵抗力が落ちるためです。
禁煙外来などのサポートも検討しながら、禁煙を成功させましょう。
歯を失うのを防ぐために歯科医院で行うケア

歯の喪失を防ぐためには、口内の状態を正確に把握し、適切なケアを受けることが欠かせません。ここでは、歯科医院で受けられる主な予防ケアを確認していきましょう。
定期検診
虫歯や歯周病を予防したり早期に発見したりするために、定期的に歯科検診を受けましょう。
定期検診では、歯や歯茎の状態をチェックしてもらえるだけではなく、普段のブラッシングでは落としきれない歯垢や歯石の除去も行われます。これにより、虫歯や歯周病を予防し、歯の寿命を延ばせるようになるでしょう。
歯周病は初期段階では自覚症状が出にくいため、歯科医師が歯周ポケットの深さや出血の有無を検査し、症状の進行を防ぎます。歯科医院のケアで口腔内を清潔に保つことで、歯を失うリスクを減少させられるでしょう。
また、クリーニング後には歯磨き方法のアドバイスも行うため、日々のケアの質も向上させられます。
歯のクリーニング
歯科医院では、歯科医師や歯科衛生士が専用の器具を使い、歯ブラシでは取り切れないプラーク(歯垢)や汚れを徹底的に除去します。日々の歯磨きでは落とせない汚れがあるため、定期的に受けると歯を守ることにつながります。
ブラッシング指導
どれだけ丁寧に歯磨きをしていても、自分では気付かない歯磨きの癖や磨き残し箇所が存在します。そのため、歯科医院で定期的にブラッシング指導を受けることが重要です。
ブラッシング指導では、患者さま一人ひとりの口腔状態に応じた磨き方の指導をしてもらうことができます。また、デンタルフロスや歯間ブラシの使い方など、毎日のセルフケアをより効果的にするためのアドバイスも受けられます。
ブラッシング指導を受けることで、正しい歯磨きの技術を身につけ、虫歯や歯周病のリスクを低減できます。
まとめ

歯を失う原因には、虫歯や歯周病、外傷などさまざまなものがあります。歯を失うことは食事や会話に支障をきたすだけではなく、全身の健康や認知機能にも影響を与えることがあります。
歯の喪失を防ぐためには、自宅での正しい歯磨きやデンタルフロスの使用、栄養バランスの取れた食生活など、日々のケアが非常に重要です。さらに、歯科医院での定期検診やクリーニング、ブラッシング指導を受けることで、無自覚のうちに進行している虫歯や歯周病を早期に発見・対処できます。
歯を長く守っていきたいとお考えの方は、広島県広島市中区胡町、広島電鉄「胡町駅」より徒歩1分にある歯医者「南青山デンタルクリニック広島医院」にお気軽にご相談ください。
当院は、患者さまに「少しでも笑顔になってお帰りいただく」ことを意識して、病気の再発・発症の予防に努めています。マウスピース矯正やホワイトニングなど、自由診療の治療を中心に、保険診療にも対応しています。
当院のホームページはこちら、お電話による予約も受け付けております。
